Productos disponibles para profesionales en ipgdental.com

Reconstrucción del 22 con poste de fibra y corona de disilicato: cuando la simplicidad del protocolo marca la diferencia

Cómo devolver la funcionalidad y estética a un diente gravemente comprometido

En odontología, hay casos que llegan a consulta con un pronóstico incierto, pero que esconden una oportunidad clara: devolver al diente su función y estética sin recurrir a soluciones más invasivas. 

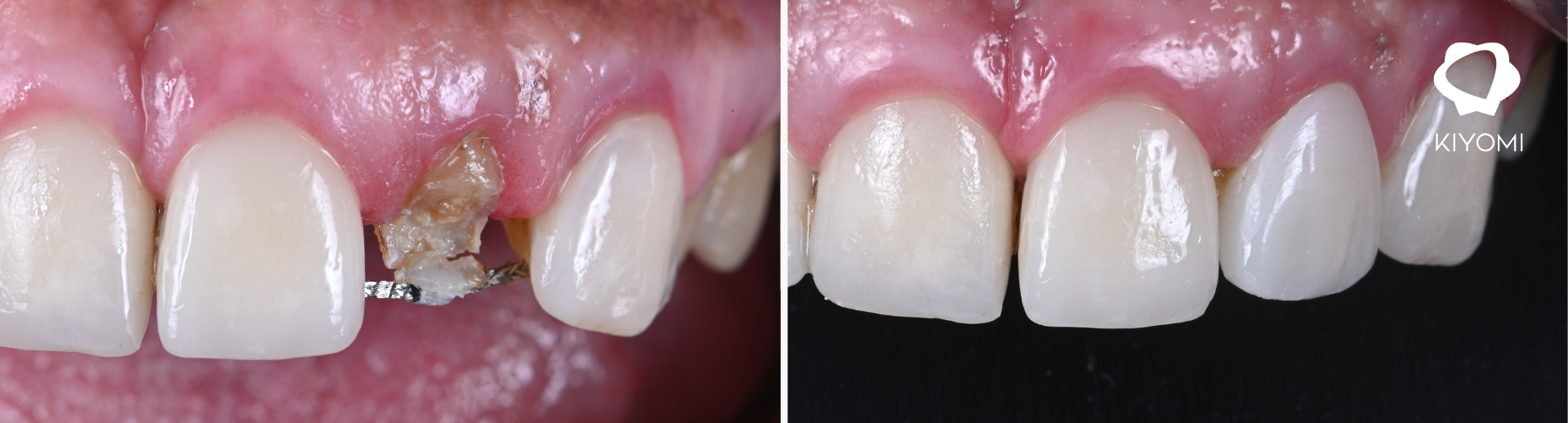
Este fue el punto de partida de este caso clínico. Un paciente acudía con la decapitación de la corona clínica del diente 22, tras el fallo de una carilla previa. A simple vista, la pérdida estructural era significativa. Sin embargo, con un enfoque adecuado y un protocolo bien definido, el objetivo no era otro que conservar el diente y devolverle una segunda vida. 

Aquí es donde la elección de materiales y la claridad del flujo de trabajo juegan un papel determinante. 

Del diagnóstico al control: la base del tratamiento

El primer paso fue recuperar el control del caso. Bajo aislamiento absoluto, se llevó a cabo el tratamiento endodóntico, asegurando un entorno libre de contaminación y un sellado adecuado del sistema de conductos. 

Esta fase, muchas veces infravalorada, es la que condiciona todo lo que viene después. Sin una base estable, cualquier reconstrucción posterior pierde previsibilidad. 

Con la endodoncia finalizada, el caso dejaba de ser una urgencia para convertirse en una reconstrucción estratégica. 

Reconstruir lo que ya no está: el momento clave del tratamiento

Con una estructura coronaria prácticamente inexistente, la reconstrucción del diente se convierte en el verdadero desafío. No se trata solo de rellenar, sino de devolver resistencia, estabilidad y continuidad biomecánica. 

La colocación de un poste de fibra de vidrio permitió recuperar ese eje estructural perdido, integrándose de forma más favorable con la dentina y reduciendo el riesgo de fracturas futuras. 

A partir de ahí, la reconstrucción del muñón se realizó con Dual Cem Core de Kiyomi Dental, un material dual con carga inorgánica que permite trabajar con seguridad en este tipo de situaciones. Su capacidad de polimerización tanto química como fotopolimerizable facilita la adaptación incluso en zonas donde la luz no llega con facilidad, algo crítico en reconstrucciones intrarradiculares. 

Todo el procedimiento se apoyó en el uso de K-Bond Universal, un sistema adhesivo que simplifica el protocolo sin comprometer la fuerza de adhesión. Esta versatilidad permite al clínico centrarse en el procedimiento, sin tener que adaptarse a sistemas complejos o poco intuitivos. 

Y es precisamente ahí donde empieza a marcarse la diferencia: cuando el material no añade dificultad, sino que acompaña el flujo clínico. 

De la reconstrucción a la estética: el paso final

Una vez recuperada la estructura del diente, el siguiente paso fue devolverle su forma definitiva. Se realizó el tallado del muñón y se optó por una rehabilitación mediante corona de disilicato de litio (e.max), una solución ampliamente contrastada en el sector anterior por su equilibrio entre estética y resistencia. 

La cementación final no solo cerraba el caso desde el punto de vista funcional, sino que devolvía al paciente una sonrisa natural, sin compromisos. 

Lo que en un inicio parecía un diente perdido, terminaba siendo un caso de rehabilitación completa y predecible. 

Kiyomi: cuando el protocolo fluye, el resultado mejora

Este tipo de casos no dependen únicamente de la técnica, sino de cómo los materiales se integran en el día a día clínico. 

La filosofía de Kiyomi Dental se basa precisamente en eso: hacer que los protocolos funcionen sin fricción. Materiales como Dual Cem Core o K-Bond Universal no buscan complicar el procedimiento, sino hacerlo más intuitivo, más eficiente y más consistente. 

En un entorno donde el tiempo, la precisión y la predictibilidad son clave, contar con sistemas que reduzcan la variabilidad clínica supone una ventaja real. 

Una segunda oportunidad, sin complicaciones

Casos como este recuerdan que la odontología actual no consiste solo en tratar, sino en decidir bien. Elegir materiales, protocolos y enfoques que permitan transformar situaciones complejas en resultados predecibles. 

Porque, al final, dar una segunda oportunidad a un diente no debería ser un proceso complejo. 

Y ahí es donde cobra sentido una idea cada vez más presente en clínica: excelencia hecha fácil.