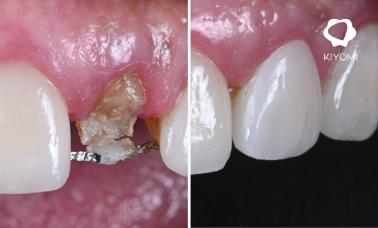
Reconstrucción del 22 con poste de fibra y corona de disilicato: cuando la simplicidad del protocolo marca la diferencia

Cómo devolver la funcionalidad y estética a un diente gravemente comprometido.

Cómo devolver la funcionalidad y estética a un diente gravemente comprometido.